my-ms logo my-ms title
MRI Brain - Sagittal

Cerebral Sagittal Axis
Brain with Vertical Front to Back Cuts

Cerebral Sagittal Axis

Enlarge by passing over or clicking

image info This image is Copyright © My-MS.org and falls under Image License F defined under the Image License section of the Disclaimer page.


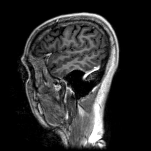
  Flair Images With Enhancement Suppressed

This type of magnetic resonance imaging (MRI) study looks at the brain with 24 sagittal (vertical - front to back) cuts beginning at right side of the brain and moving to the left.
Flair images allow the signal from cerebrospinal fluid (CSF) to be suppressed so existing lesions are easier to see.
(Examples of multiple long-term lesions can be seen best on images 5.6 to 5.9 and 5.11 to 5.14)


Enlarge Image by passing over or clicking



Enlarge Image by passing over or clicking

All MRI Images - image info All MRI images on this site and page are
Copyright © My-MS.org and fall under Image License F defined under the Image License section of the Disclaimer page.




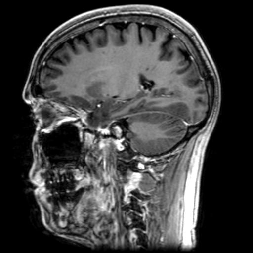
  T1-Weighting

This type of MRI study looks at the brain with 25 sagittal (vertical - front to back) cuts.
T1-weighting causes the nerve connections of white matter to appear white, and the congregations of neurons of gray matter to appear gray, while CSF appears dark.
These will show current disease activity if present (which there is none present).


Enlarge Image by passing over or clicking



Enlarge Image by passing over or clicking

All MRI Images - image info All MRI images on this site and page are
Copyright © My-MS.org and fall under Image License F defined under the Image License section of the Disclaimer page.