my-ms logo my-ms title
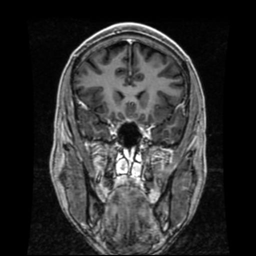
MRI Brain - Coronal

Cerebral Coronal Axis
Brain with Vertical Side to Side Cuts

Cerebral Coronal Axis

Enlarge by passing over or clicking

image info This image is Copyright © My-MS.org and falls under Image License F defined under the Image License section of the Disclaimer page.


  T1-Weighting

This type of magnetic resonance imaging (MRI) study looks at the brain with 28 coronal (vertical - side to side) cuts that begin at the back of the brain and work forward.
T1-weighting causes the nerve connections of white matter to appear white, and the congregations of neurons of gray matter to appear gray, while cerebrospinal fluid (CSF) appears dark.


Enlarge Image by passing over or clicking



Enlarge Image by passing over or clicking

All MRI Images - image info All MRI images on this site and page are
Copyright © My-MS.org and fall under Image License F defined under the Image License section of the Disclaimer page.