my-ms logo my-ms title
MRI Brain - Transverse

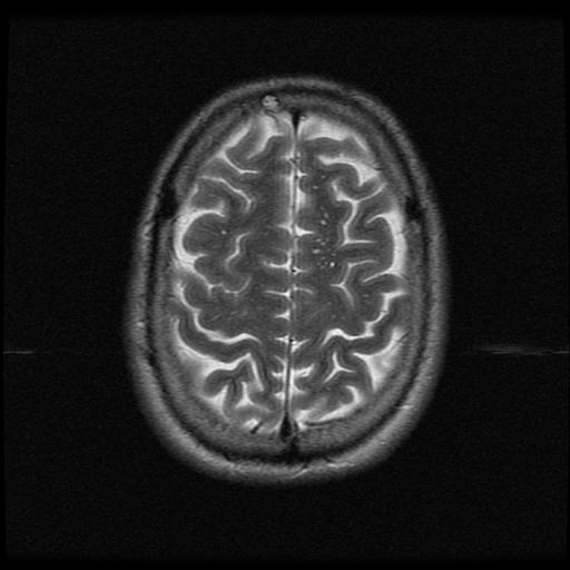
Cerebral Transverse Axis
Brain with Vertical Side to Side Cuts

Cerebral Transverse Axis

Enlarge by passing over or clicking

image info This image is Copyright © My-MS.org and falls under Image License F defined under the Image License section of the Disclaimer page.


  T2-Weighting

This type of MRI study looks at the brain with 20 transverse (horizontal) cuts beginning at the base and working to the top.
T2-weighting causes the nerve connections of white matter to appear gray, and the congregations of neurons of gray matter to appear white, while the CSF appears light.
These will show current disease activity if present (which there is not).


Enlarge Image by passing over or clicking



Enlarge Image by passing over or clicking

All MRI Images - image info All MRI images on this site and page are
Copyright © My-MS.org and fall under Image License F defined under the Image License section of the Disclaimer page.




  Flair Images With Enhancement Suppressed

This type of MRI study looks at the brain with 20 transverse cuts from base to top.
Flair images allow the signal from cerebrospinal fluid (CSF) to be suppressed so existing lesions are easier to see.
(Examples of multiple long-term lesions can be seen best on images 4.6 to 4.7, 4.10 to 4.14 & 4.16)


Enlarge Image by passing over or clicking



Enlarge Image by passing over or clicking

All MRI Images - image info All MRI images on this site and page are
Copyright © My-MS.org and fall under Image License F defined under the Image License section of the Disclaimer page.